La réussite d'un traitement

Traitement orthodontique : les règles du succès

Traitement orthodontique : les règles du succès

Nettoyage des brackets avec brossette interdentaire

Nettoyage des brackets avec brossette interdentaire

L'hygiène en orthodontie

L'hygiène en orthodontie

Contention de Hawley

Contention de Hawley

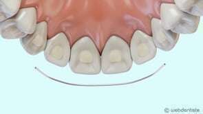
Fil de contention

Fil de contention

Conditions de réussite d'un traitement orthodontique

Conditions de réussite d'un traitement orthodontique

Le succès d’un traitement d’orthodontie dépend du diagnostic et des soins prodigués, mais également de votre coopération.

Affichage des articles 1-6 sur 9